Nha Khoa Á Đông – Thẩm Mỹ & Nha Khoa Á Đông

0

Giỏ hàng

Chưa có sản phẩm trong giỏ hàng.

0

Giỏ hàng

Chưa có sản phẩm trong giỏ hàng.

Sâu răng nặng: Nguy cơ và các biện pháp khắc phục hiệu quả

21/12/2024
Sâu răng nặng: Nguy cơ và các biện pháp khắc phục hiệu quả

Sâu răng nặng là một tình trạng nghiêm trọng mà nhiều người mắc phải trong cuộc sống hàng ngày. Tình trạng này không chỉ gây khó chịu mà còn ảnh hưởng đến sức khỏe tổng thể của mỗi cá nhân. Việc hiểu rõ về sâu răng nặng sẽ giúp chúng ta có những biện pháp phòng ngừa và điều trị hiệu quả hơn.

Tổng quan về sâu răng nặng

Sâu răng nặng là một giai đoạn tiến triển của sâu răng, nơi mà vi khuẩn đã ăn mòn lớp men răng và xâm nhập vào các lớp sâu hơn của răng. Khi không được điều trị kịp thời, tình trạng này có thể dẫn đến các vấn đề nghiêm trọng hơn như viêm nhiễm chân răng hoặc thậm chí mất răng.

Định nghĩa sâu răng nặng

Sâu răng nặng được định nghĩa là sự tổn thương đáng kể của cấu trúc răng do vi khuẩn gây ra. Vi khuẩn tích tụ trên bề mặt răng hình thành các mảng bám. Nếu không được làm sạch thường xuyên, chúng sẽ sản sinh ra acid làm hỏng men răng và tạo ra các lỗ hổng.

Khi sâu răng tiến triển, nó sẽ vượt qua lớp men và xâm nhập vào ngà răng, gây đau đớn và khó chịu cho người mắc. Tình trạng này thường không được phát hiện cho đến khi trở nên nghiêm trọng hơn, khi các triệu chứng bắt đầu xuất hiện.

Nguyên nhân gây ra sâu răng nặng

Có nhiều nguyên nhân dẫn đến tình trạng sâu răng nặng. Một trong những nguyên nhân chính là chế độ ăn uống không hợp lý, đặc biệt là việc tiêu thụ quá nhiều đường và thực phẩm có tính axit. Những thức ăn này sẽ cung cấp môi trường lý tưởng cho vi khuẩn phát triển.

Ngoài ra, việc không duy trì vệ sinh răng miệng đúng cách cũng là một nguyên nhân quan trọng. Nếu không chải răng đều đặn hay không sử dụng chỉ nha khoa để làm sạch các kẽ răng, vi khuẩn dễ dàng tích tụ và phát triển, dẫn đến sâu răng.

Các yếu tố nguy cơ làm tăng khả năng mắc sâu răng nặng

Một số yếu tố khác cũng có thể làm tăng nguy cơ bị sâu răng nặng, bao gồm:

  • Di truyền: Nếu gia đình bạn có tiền sử sâu răng, bạn cũng có khả năng cao hơn mắc phải.
  • Thói quen hút thuốc lá: Hút thuốc không chỉ ảnh hưởng đến sức khỏe toàn thân mà còn làm giảm lưu thông máu đến nướu, khiến nướu dễ bị viêm và sâu răng nặng xảy ra.
  • Thiếu hụt dinh dưỡng: Thiếu các vitamin và khoáng chất cần thiết cho sức khỏe răng miệng cũng có thể làm tăng nguy cơ mắc sâu răng.

Tác hại khi bị sâu răng nặng

Tác hại của sâu răng nặng không chỉ dừng lại ở việc gây đau nhức mà còn ảnh hưởng sâu sắc đến sức khỏe và sinh hoạt hàng ngày của người bệnh.

Ảnh hưởng đến sức khỏe răng miệng

Khi mắc phải sâu răng nặng, răng không chỉ bị tổn thương mà còn có thể dẫn đến các vấn đề nghiêm trọng hơn như viêm tủy răng. Viêm tủy răng có thể gây ra những cơn đau dữ dội và nếu không được điều trị kịp thời, nó có thể dẫn đến mất răng.

Ngoài ra, sự phát triển của vi khuẩn trong miệng có thể góp phần vào việc hình thành các bệnh lý nướu, từ đó gây ra tình trạng viêm, sưng và khó khăn trong việc ăn uống.

Tác động đến sức khỏe toàn thân

Sâu răng nặng không chỉ ảnh hưởng đến răng miệng mà còn có thể tác động xấu đến sức khỏe toàn thân. Nghiên cứu cho thấy rằng vi khuẩn từ miệng có thể theo dòng máu xâm nhập vào các cơ quan khác, gây ra các vấn đề nghiêm trọng như bệnh tim mạch, tiểu đường và hô hấp.

Hơn nữa, khi bị đau răng, người bệnh thường cảm thấy mệt mỏi, căng thẳng và khó tập trung vào công việc, ảnh hưởng đến năng suất lao động và chất lượng cuộc sống.

Khó khăn trong sinh hoạt hàng ngày

Một trong những tác hại rõ rệt của sâu răng nặng là làm giảm khả năng ăn uống và giao tiếp. Cảm giác đau nhức khi ăn uống có thể khiến người bệnh tránh xa những thực phẩm họ yêu thích, từ đó dẫn đến suy giảm dinh dưỡng.

Hơn nữa, tình trạng hôi miệng do sâu răng cũng có thể gây khó khăn trong giao tiếp xã hội, làm người bệnh cảm thấy tự ti khi nói chuyện với người khác.

Chi phí điều trị và ảnh hưởng tài chính

Chi phí điều trị cho sâu răng nặng có thể rất cao, đặc biệt khi bệnh tiến triển đến giai đoạn nghiêm trọng. Việc điều trị có thể bao gồm việc trám răng, nhổ răng hoặc thậm chí là phẫu thuật, tất cả đều tốn kém.

Điều này không chỉ ảnh hưởng đến sức khỏe mà còn gây áp lực tài chính cho người bệnh và gia đình, đặc biệt là những người có thu nhập thấp. Chúng ta cần nhận thức rõ ràng về tác hại lâu dài của sâu răng để có kế hoạch chăm sóc răng miệng hợp lý.

Dấu hiệu nhận biết sâu răng nặng

Việc nhận biết sớm các dấu hiệu của sâu răng nặng là rất quan trọng để có thể can thiệp kịp thời và hiệu quả.

Cảm giác đau nhức ở vùng răng

Cảm giác đau nhức là một trong những dấu hiệu điển hình nhất của sâu răng. Người bệnh có thể cảm thấy cơn đau này thay đổi từ nhẹ đến nặng, tùy thuộc vào mức độ tổn thương của răng.

Đau có thể xảy ra khi ăn thực phẩm nóng, lạnh hoặc ngọt. Nếu bạn cảm thấy đau nhức kéo dài, hãy nhanh chóng thăm khám nha sĩ để tìm hiểu nguyên nhân và điều trị kịp thời.

Xuất hiện lỗ hổng trên bề mặt răng

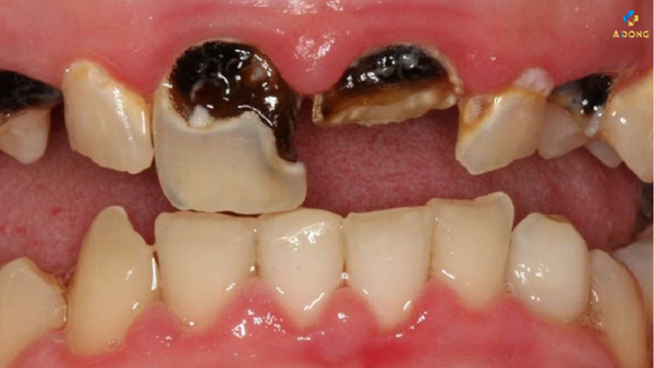
Một dấu hiệu rõ ràng của sâu răng nặng là sự xuất hiện của lỗ hổng hoặc vết đen trên bề mặt răng. Những lỗ hổng này cho thấy men răng đã bị phá hủy nghiêm trọng, và nếu không được sửa chữa, tình trạng sẽ tiếp tục xấu đi.

Thông thường, việc kiểm tra định kỳ tại nha sĩ sẽ giúp phát hiện các lỗ hổng này sớm hơn, từ đó có thể đưa ra biện pháp điều trị phù hợp.

Sự thay đổi màu sắc của răng

Răng bị sâu thường có màu sắc khác biệt. Bề mặt răng có thể xuất hiện các vết nâu, đen hoặc vàng, tùy thuộc vào mức độ tổn thương.

Thay đổi màu sắc này không chỉ ảnh hưởng đến vẻ ngoài của răng, mà còn có thể là dấu hiệu của sự phát triển của vi khuẩn và tình trạng sâu răng. Nếu bạn nhận thấy sự thay đổi bất thường này, hãy tìm đến chuyên gia nha khoa ngay lập tức.

Mùi hôi miệng và sự tích tụ thức ăn

Mùi hôi miệng là một trong những dấu hiệu cảnh báo sâu răng nặng mà ít người để ý. Vi khuẩn tích tụ trong các lỗ sâu có thể tạo ra mùi hôi khó chịu.

Ngoài ra, sự tích tụ thức ăn giữa các kẽ răng cũng có thể là dấu hiệu cho thấy bạn đang gặp vấn đề về răng miệng. Việc vệ sinh răng miệng không đầy đủ sẽ tạo điều kiện cho vi khuẩn phát triển, gây ra sâu răng và các vấn đề nghiêm trọng khác.

Phương pháp chữa sâu răng nặng

Để điều trị sâu răng nặng, có nhiều phương pháp khác nhau mà người bệnh có thể lựa chọn. Từ các biện pháp tự nhiên đến các phương pháp chuyên khoa, mỗi phương pháp đều có ưu điểm và nhược điểm riêng.

Điều trị tại nhà với các biện pháp tự nhiên

Nhiều người tìm kiếm các biện pháp tự nhiên để điều trị sâu răng. Một số nguyên liệu thiên nhiên như dầu dừa, tinh dầu tràm trà, hoặc tinh bột nghệ có thể giúp giảm triệu chứng đau nhức và kháng viêm.

Dầu dừa có chứa axit lauric, một chất kháng khuẩn mạnh mẽ có thể giúp tiêu diệt vi khuẩn gây sâu răng. Bạn có thể súc miệng bằng dầu dừa hàng ngày để cải thiện sức khỏe răng miệng.

Thăm khám nha sĩ và các phương pháp điều trị chuyên khoa

Nếu tình trạng sâu răng đã ở mức nặng, việc thăm khám nha sĩ là vô cùng cần thiết. Nha sĩ sẽ xác định mức độ tổn thương của răng và đề xuất phương pháp điều trị thích hợp như trám răng, nhổ răng, hoặc điều trị tủy.

Trám răng là phương pháp phổ biến nhất để điều trị sâu răng. Nha sĩ sẽ loại bỏ phần răng bị sâu và lấp đầy khoảng trống bằng vật liệu trám. Điều này không chỉ phục hồi chức năng ăn nhai mà còn ngăn chặn sự phát triển của vi khuẩn.

Biện pháp phòng ngừa sâu răng nặng trong tương lai

Phòng ngừa luôn là phương pháp tốt nhất để bảo vệ sức khỏe răng miệng. Thói quen đánh răng ít nhất hai lần một ngày và sử dụng chỉ nha khoa hàng ngày là rất quan trọng.

Bên cạnh đó, hãy thường xuyên thăm khám nha sĩ ít nhất hai lần mỗi năm để phát hiện và điều trị các vấn đề răng miệng kịp thời. Đặc biệt, việc sử dụng nước súc miệng có chứa fluoride có thể giúp tăng cường men răng và ngăn ngừa sâu răng hiệu quả.

Chế độ dinh dưỡng hỗ trợ sức khỏe răng miệng

Chế độ dinh dưỡng cũng đóng vai trò quan trọng trong việc duy trì sức khỏe răng miệng. Ăn nhiều thực phẩm giàu vitamin và khoáng chất như rau xanh, trái cây, và các loại hạt có thể giúp củng cố sức khỏe răng miệng.

Ngoài ra, hạn chế tiêu thụ đường và thực phẩm có tính axit sẽ giúp giảm nguy cơ mắc sâu răng. Thay vào đó, hãy lựa chọn thực phẩm có lợi cho răng như sữa, phô mai và các sản phẩm từ sữa khác.

Kết luận

Như vậy, sâu răng nặng là một vấn đề sức khỏe răng miệng nghiêm trọng mà mọi người cần chú ý. Hiểu rõ về nguyên nhân, dấu hiệu và các phương pháp chữa trị sẽ giúp chúng ta bảo vệ sức khỏe bản thân tốt hơn. Chăm sóc răng miệng đúng cách không chỉ mang lại nụ cười đẹp mà còn cải thiện chất lượng cuộc sống. Hãy nhớ rằng, phòng bệnh luôn tốt hơn chữa bệnh, vì vậy hãy duy trì thói quen vệ sinh răng miệng đều đặn và thăm khám nha sĩ thường xuyên.

Nếu bạn gặp phải vấn đề sâu răng nặng, hãy đến Nha khoa Á Đông để được thăm khám và điều trị kịp thời. Với đội ngũ bác sĩ chuyên nghiệp và công nghệ hiện đại, chúng tôi sẽ giúp bạn khắc phục tình trạng sâu răng, bảo vệ sức khỏe răng miệng và ngăn ngừa biến chứng.

———————————-

✨ Nha khoa Á Đông – Nơi tạo nên nụ cười mới, nâng tầm cuộc sống ✨

Thông tin liên hệ

NHA KHOA Á ĐÔNG, THẨM MỸ VIỆN Á ĐÔNG

Fanpage: https://www.facebook.com/nhakhoaADongSocTrang/

Chi nhánh 1: 236 Điện Biên Phủ, Phường 6, Thành phố Sóc Trăng

Số điện thoại: 02993 824 721

Chi nhánh 2: Căn PJ 01-05A Vincom Shophouse, Số 22A Trần Hưng Đạo, Phường 2, Thành phố Sóc Trăng

Số điện thoại: 02993 662 999

Email: nhakhoaadong@gmail.com 

Thời gian làm việc: Từ 8h đến 20h

Thẻ:
Đang xem:

Sâu răng nặng: Nguy cơ và các biện pháp khắc phục hiệu quả

Nhận tư vấn miễn phí từ chuyên gia

ĐẶT LỊCH KHÁM NGAY

    Vấn đề quan tâm:

    Liên hệ