Nha Khoa Á Đông – Thẩm Mỹ & Nha Khoa Á Đông

0

Giỏ hàng

Chưa có sản phẩm trong giỏ hàng.

0

Giỏ hàng

Chưa có sản phẩm trong giỏ hàng.

Trồng Implant

Trồng Implant

Trong ba phương pháp trồng răng giả phổ biến hiện nay, phương pháp trồng răng Implant là được ưa chuộng hơn cả bởi những ưu điểm tối ưu của nó. Để giúp khách hàng hiểu kỹ hơn về bản chất cũng như những ưu điểm của cấy ghép Implant, Nha khoa Á Đông đã tổng hợp bài viết chi tiết về phương pháp này.

Phương pháp Implant là gì? 

1.1. Răng Implant là gì? 

Răng implant là trụ có hình dáng thuôn dài dần, được làm từ chất liệu titanium có độ tinh khiết cao. Răng này có tác dụng thay thế cho chân răng đã mất, đóng vai trò nâng đỡ cho một phục hình mới như mão răng sứ, cầu răng sứ hay hàm giả. Răng implant được tạo thành từ 3 phần chính:

– Trụ Implant
– Khớp nối abutment
– Mão răng sứ.

Trồng răng Implant - Nha khoa Á Đông
Răng Implant gồm 3 phần chính: trụ Implant, khớp nối và mão răng sứ

1.2. Phương pháp trồng răng Implant là gì?

Làm răng giả Implant hay còn gọi là trồng răng implant là một phương pháp trồng răng giả cố định dùng trụ Implant thay thế cho chân răng thật. Phương pháp này có thể áp dụng cho nhiều trường hợp, kể cả mất 1 răng, nhiều răng hoặc toàn hàm răng.

1.3. Phương pháp trồng răng Implant dành cho ai?

Nếu khách hàng gặp một trong những tình trạng răng miệng dưới đây, quý khách có thể xem xét phương pháp trồng răng Implant:

– Đã mất 1 răng cửa, răng nanh hoặc răng hàm.

– Toàn bộ răng hàm dưới hoặc trên đã mất.

– Người mất các răng liền kề nhau hoặc nằm ở các vị trí tách biệt.

– Những khách hàng mất răng và không muốn áp dụng kỹ thuật hàm tháo lắp hay cầu răng sứ.

Trồng răng Implant - Nha khoa Á Đông
Cấy ghép Implant có thể được ứng dụng vào tình trạng mất răng toàn hàm

 

Vì sao phương pháp trồng răng Implant được nhiều người ưa chuộng?

Trồng răng implant được ưa chuộng bởi lẽ phương pháp này sở hữu nhiều ưu điểm như:

– Trồng răng giả cố định bằng phương pháp này không gây ra cảm giác đau đớn.

– Quý khách không phải lo lắng sẽ bị tình trạng tiêu xương hàm, tổn thương nướu như hàm giả tháo lắp hay làm cầu răng.

– Người dùng được khôi phục chứng năng nhai tốt, có thể phát âm dễ dàng, thoải mái sinh hoạt bình thường.

Tuy thế, trồng răng Implant lại đòi hỏi nha sĩ phải có tay nghề cao, chuyên môn vững, được đào tạo chuyên sâu về cấy ghép implant mới có thể đạt kết quả thành công. Ngoài ra, so sánh với các phương pháp hàm giả khác, chi phí trồng răng giả bằng kỹ thuật cấy ghép implant cao hơn, do đó quý khách hàng cần cân nhắc kỹ.

Trồng răng Implant - Nha khoa Á Đông
Chọn cơ sở cấy Implant uy tín như Nha khoa Á Đông để được thăm khám tận tình

 

Khám phá quy trình thực hiện phương pháp Implant tại Nha khoa Á Đông

3.1. Chẩn đoán tình trạng răng

Các nha sĩ sẽ sử dụng hệ thống chụp phim CT Cone Beam để có sự chính xác trong khâu chẩn đoán trước khi điều trị. Phim CT Cone Beam có khả năng cho ra hình ảnh 3D sắc nét của hàm răng, chỉ ra sự tương quan xương hàm, xoang và dây thần kinh. Từ đó, bác sĩ có thể tính toán được kích thước răng implant tương thích với ổ xương răng. Ngoài ra, phim CT Cone Beam còn giúp nha sĩ chẩn đoán thời điểm nên thực hiện cấy ghép cũng như kết quả răng sau khi phục hình.

3.2. Lên phác đồ điều trị chi tiết

Phác đồ điều trị là thành tố quan trọng tạo nên sự thành công cho mỗi ca cấy ghép implant. Để tạo nên một phác đồ điều trị đầy đủ, các nha sĩ sẽ cần xem xét nhiều yếu tố, bao gồm số lượng và vị trí đặt từng răng implant, phân loại, chất liệu kích thước implant cũng như kế hoạch phục hình răng. Nếu cần, nha sĩ sẽ chỉ định ghép xương nâng xoang, cũng như đưa ra quy trình từng bước và phương thức vô cảm được sử dụng.

3.3. Tiến hành cấy ghép Implant

Sau khi đã đáp ứng đủ 2 bước chuẩn đoán chính xác và lên phác đồ điều trị chi tiết, trụ implant sẽ được đưa vào xương hàm theo kế hoạch, không xâm lấn quá sâu vào các phần nướu, từ đó rút ngắn được thời gian lành thương và tăng khả năng tích h

đã tính toán sẵn, không xâm lấn và rút ngắn thời gian lành thương, tích hợp xương. Đối với công nghệ trồng răng implant, từng thao tác của bác sĩ sẽ chuẩn và không gặp sai sót, từ đó giúp khách hàng có hàm răng với tính thẩm mỹ và chất lượng cao.

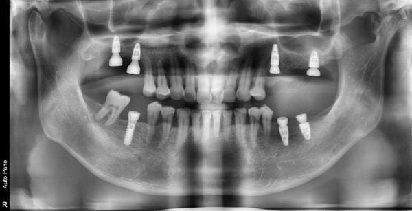
Trồng răng Implant - Nha khoa Á Đông
Hình ảnh chụp X-quang khách hàng đã cấy ghép Implant

 

Giá trồng răng Implant của Nha khoa Á Đông

Để trồng răng Implant, nha sĩ sẽ cần trụ implant, một khớp nối và mão răng sứ. Nhằm đáp ứng được nhu cầu sức khỏe răng miệng của khách hàng, Nha khoa Á Đông cung cấp đa dạng các loại khớp nối và mão răng sứ. Xin mời quý khách tham khảo chi tiết giá trồng răng Implant tại bảng dưới đây.

Giá trồng răng Implant Đơn vị tính Giá dịch vụ (VNĐ)
Trụ Implant + Abutment Osstem Trụ 12.000.000
Trụ Implant + Abutment ETK Pháp Trụ 17.000.000
Trụ Implant + Abutment Kontact Pháp Trụ 17.000.000
Trụ Implant + Abutment Hiossen Mỹ Trụ 17.000.000
Trụ Implant + Abutment Neodent Strauman Thụy Sĩ Trụ 22.000.000
Trụ Implant + Abutment SLA Strauman Thụy Sĩ Trụ 30.000.000
Trụ Implant + Abutment SLAactive Strauman Thụy Sĩ Trụ 35.000.000
Răng sứ trên Implant Titan Răng 3.000.000
Răng sứ trên Implant sage Đức Răng 6.000.000
Ghép xương Ti-oss 1 đơn vị 5.000.000
Ghép xương Cerabone 1 đơn vị 10.000.000
Nâng xoang 1 đơn vị 10.000.000

 

Trường hợp nào không được trồng răng Implant? 

Để trồng răng Implant, khách hàng thường phải đạt điều kiện về sức khỏe răng miệng và cơ thể. Nếu quý khách thuộc 1 trong các trường hợp dưới đây, bác sĩ khuyến cáo không nên trồng răng Implant để đảm bảo an toàn điều trị.

• Bệnh nhân dưới 18 tuổi, có xương hàm chưa phát triển hoàn thiện, nếu can thiệp sẽ dẫn đến sự phát triển sai lệch của cấu trúc xương hàm.

• Bệnh nhân đang mang thai được chống chỉ định trong cấy ghép Implant, vì để cấy ghép Implant cần phải gây tê, gây mê, sử dụng kháng sinh,… Điều này ảnh hưởng không tốt cho cả mẹ và thai nhi.

• Những người đang gặp tình trạng về tim mạch, cao huyết áp, tiểu đường,… Đây là các đối tượng này khó cầm máu, từ đó gây khó khăn khi cấy ghép Implant.

• Người có vấn đề về tâm thần, khó kiểm soát được hành vi của mình.

• Người gặp vấn đề nghiện các chất kích thích như rượu, thuốc lá và các chất gây nghiện khác.

• Người đang trị xạ/hóa trị không thể thực hiện phương pháp này.

Trên đây cũng được xem như là các điều kiện để trồng răng Implant an toàn, không xảy ra biến chứng. Trước đó người bệnh nên thông báo tình trạng sức khỏe hiện tại cho bác sĩ, có mắc bất kỳ bệnh lý mãn tính nào không, có mang thai không,… để bác sĩ có kế hoạch điều trị phù hợp. Đồng thời, nha sĩ cũng yêu cầu người bệnh kiêng rượu bia, thuốc lá trong vòng 2 – 4 tuần trước và sau cấy ghép Implant.

 

Khuyến mãi chào hè hấp dẫn khi cấy ghép Implant tại Nha khoa Á Đông

Với khách hàng gặp các tình trạng mất răng, việc áp dụng phương pháp trồng răng Implant sẽ giúp giải quyết được vấn đề này. Nhận thấy những trăn trở của khách hàng khi chi phí trồng răng Implant không hề rẻ, Nha khoa Á Đông quyết định tổ chức chương trình khuyến mãi chào hè cho dịch vụ trồng răng Implant.

Trồng răng Implant - Nha khoa Á Đông
Hãy liên hệ Nha khoa Á Đông sớm để nhận khuyến mãi khi làm cấy ghép Implant

Nhân dịp hè về, Nha khoa Á Đông đem đến chương trình tặng 1 trụ răng Implant khi làm 3 trụ răng Implant. Đây là cơ hội tốt để khách hàng trải nghiệm dịch vụ trồng răng Implant với giá tốt cùng cơ sở vật chất hiện đại, chất lượng của Nha khoa Á Đông. Với số lượng trụ Implant có hạn, quý khách hàng hãy nhanh chóng liên hệ cho Nha khoa Á Đông qua Zalo để tham gia chương trình khuyến mãi.

Thông tin liên hệ

NHA KHOA Á ĐÔNG, THẨM MỸ VIỆN Á ĐÔNG

Địa chỉ: Căn PJ 01-05A Vincom Shophouse, Số 22A Trần Hưng Đạo, Phường 2, Thành phố Sóc Trăng

Số điện thoại: 02993 662 99902993 890 999

Email: nhakhoaadong@gmail.com

Thời gian làm việc: Từ 8h đến 20h

Liên hệ