Nha Khoa Á Đông – Thẩm Mỹ & Nha Khoa Á Đông

0

Giỏ hàng

Chưa có sản phẩm trong giỏ hàng.

0

Giỏ hàng

Chưa có sản phẩm trong giỏ hàng.

Răng Sứ

Răng Sứ

Bọc răng sứ là hình thức làm đẹp rất được ưa chuộng trong thời gian gần đây. Tuy nhiên, nhiều quý khách vẫn còn chưa hiểu tường tận về phương pháp này, cũng như quy trình thực hiện bọc răng sứ. Xin mời quý khách cùng Nha khoa Á Đông tìm hiểu về chủ đề này bọc răng sứ tại bài viết này.

Bọc răng sứ là gì?

1.1. Bọc răng sứ là gì?

Bọc răng sứ là kỹ thuật thẩm mỹ, phục hồi răng được ưa chuộng hiện nay. Cụ thể hơn, nha sĩ sẽ dùng mão răng sứ để bao phủ lên phần răng đang bị mất chức năng. Phương pháp này giúp khôi phục vẻ thẩm mỹ tự nhiên cho răng.

1.2. Phương pháp bọc răng sứ là gì?

Làm răng sứ là một hình thức cải thiện các tình trạng chưa tốt của răng, từ đó giúp chức năng nhai của khách hàng tốt hơn. Khi thực hiện bọc răng sứ, bác sĩ sẽ chụp mão răng sứ lên cùi răng thật của khách hàng nhằm phục hồi lại các chức năng cùng tính thẩm mỹ cho răng.

Bọc răng sứ - Nha khoa Á Đông
Khi bọc răng sứ, nha sĩ chụp mão răng sứ lên răng thật

1.3. Những đối tượng nào nên bọc răng sứ?

Bọc răng sứ sẽ là phương pháp tối ưu hơn cả khi sức khoẻ răng miệng của quý khách thuộc các trường hợp sau:

– Răng gãy đến 2/3 thân.

– Răng mòn, khớp cắn không tốt.

– Răng đã bị mất men răng.

– Màu răng quá sậm do nhiễm tetracycline.

Lợi ích của việc bọc răng sứ

2.1. Giúp bảo vệ răng gốc

Thực chất, bọc sứ không chỉ giúp nâng cao tính thẩm mỹ mà còn giúp hạn chế răng gốc của chúng ta khỏi những tác nhân gây hại như vi khuẩn, mảng bám, cao răng…

Mão răng sứ được chụp bên ngoài thân răng sinh lý sẽ trở thành một “lá chắn” giúp mô răng ít bị tác động từ môi trường xung quanh. Ngoài ra, bọc răng sứ còn làm hạn chế sự tấn công từ thực phẩm và vi khuẩn có hại cho răng.

2.2. Khôi phục lại chức năng ăn nhai

Với các khách hàng gặp tình trạng răng sâu, gãy, nứt,…, khả năng nhai, nghiền thức ăn sẽ bị giảm sút. Về lâu dài, nếu quý khách để lâu không phục hình răng sứ thì việc nhai thức ăn sẽ trở nên khó khăn. Bên cạnh đó, thức ăn không được nghiền nát, nhai kỹ còn làm tăng áp lực cho dạ dày, ảnh hưởng đến sức khoẻ.

Trong khi đó, mão sứ dù là mão sứ kim loại cũng có độ cứng cao, khả năng chịu lực tốt nên hoàn toàn khôi phục lại chức năng ăn nhai của răng.

Bọc răng sứ - Nha khoa Á Đông
Bọc răng sứ giúp khôi phục lại chức năng nhai cho quý khách hàng

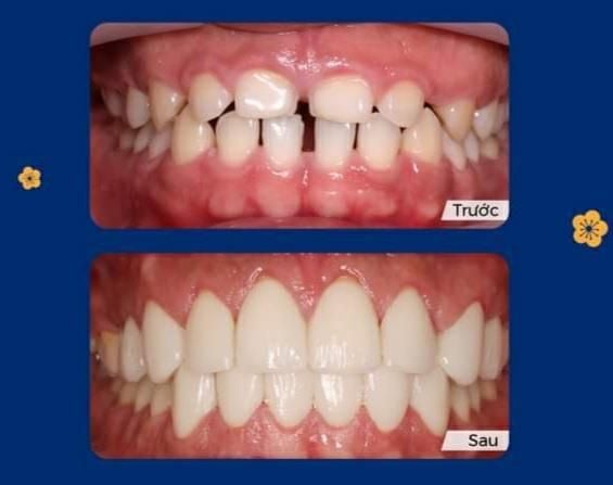
2.3. Cải thiện tính thẩm mỹ của răng

Mỗi một chiếc mão sứ được chế tạo theo dấu hàm riêng của từng người, với màu sắc, kiểu dáng giống tương tự răng sinh lý.

Mão răng sứ thiết kế riêng cho từng khách hàng không chỉ đem lại độ tương thích cao mà còn cải thiện những khiếm khuyết về vẻ ngoài hoặc sức khoẻ răng. Từ đó, khách hàng sau khi bọc răng sứ sẽ cải thiện về vẻ ngoài của răng cũng như ngoại hình, giúp khách hàng thêm tự tin.

Bọc răng sứ - Nha khoa Á Đông
Bọc răng sứ có khả năng cải thiện thẩm mỹ răng rất tốt

Các tiêu chí chọn loại răng sứ phù hợp

3.1. Các loại răng sứ trên thị trường

Để đáp ứng được các nhu cầu đa dạng của khách hàng, ngày càng có nhiều loại răng sứ được chế tạo với các mức giá khác nhau. Về cơ bản, răng sứ được chia thành hai dòng chính là răng sứ kim loại và răng toàn sứ. Trong đó, mỗi một dòng sẽ có những mặt ưu, nhược điểm khác nhau.

3.2. Các tiêu chí cần cân nhắc khi chọn loại răng sứ

Để chọn được loại răng sứ phù hợp, có thể từ đó ăn uống, sinh hoạt bình thường, quý khách hàng cần phải cân nhắc kỹ những yếu tố dưới đây:

3.2.1. Hiệu quả thẩm mỹ

Để có hàm răng trắng sáng, tự nhiên, khách hàng nên lựa chọn các loại răng sứ có màu sắc hài hoà với các răng còn lại trên cung hàm. Ngoài ra, để giữ cho hàm răng được đều màu trong thời gian dài, việc lựa chọn răng sứ chất lượng tốt, bền cũng rất quan trọng.

3.2.2. Chức năng ăn nhai tốt

Răng sứ cần phải có độ cứng đủ để duy trì được chức năng ăn nhai cho khách hàng, giúp khách hàng ăn uống sinh hoạt thoải mái. Cần lưu ý chọn các loại răng sứ chất lượng để có thể dùng cả thực phẩm nóng, lạnh hoặc cứng.

3.2.3. Độ bền cao

Răng sứ không chỉ cần có tính thẩm mỹ mà còn duy trì được chức năng nhai cũng như sức khoẻ răng. Do đó, khách hàng cần cân nhắc những loại răng sứ có độ bền cao, dùng được trong thời gian dài.

3.2.4. Chi phí hợp lý

Cuối cùng, lựa chọn làm răng sứ phù hợp với nhu cầu và khả năng tài chính của bản thân cũng rất quan trọng. Với đa dạng các loại răng sứ trên thị trường, khách hàng có thể dễ dàng tìm được loại răng sứ phù hợp.

Quy trình bọc răng sứ tại Nha khoa Á Đông như thế nào?

Tại Nha khoa Á Đông, để mang lại kết quả tốt nhất cho khách hàng, quy trình bọc răng sứ được thực hiện theo đúng kỹ thuật, tiêu chuẩn quốc tế với các bước như sau:

4.1. Thăm khám và chụp X quang

Đầu tiên, khi đến với Nha khoa Á Đông, khách hàng sẽ được thăm khám tổng quát. Sau đó, khách hàng sẽ được sắp xếp chụp phim X-quang quanh chóp và Panorex cho răng. Từ đó, bác sĩ có thể thấy được các vấn đề răng miệng của khách hàng, những khiếm khuyết của răng như lệch lạc, mẻ gãy, thưa… cũng như phân tích nguyên nhân răng hư tổn và số lượng răng cần phục hình.

Bọc răng sứ - Nha khoa Á Đông
Trước khi bọc răng sứ, nha sĩ sẽ khám tổng quát răng cho khách hàng

4.2. Lên kế hoạch điều trị

Dựa vào kết quả thăm khám và chụp X-quang kiểm tra, bác sĩ sẽ lên kế hoạch điều trị, cụ thể về số lượng răng cần phục hình, thời gian thực hiện, chi phí… Đồng thời, bác sĩ cũng tư vấn khách hàng về phương pháp thực hiện cũng như giải đáp mọi thắc mắc liên quan. Nếu khách hàng đồng ý, bác sĩ sẽ giao kế hoạch điều trị và hẹn lịch tái khám.

4.3. Gây tê, mài răng

Ở lần hẹn này, khách hàng sẽ được vệ sinh răng miệng kỹ lưỡng, rồi gây tê để chuẩn bị mài răng. Với thuốc tê, việc bác sĩ tiến hành mài đi một lớp răng mỏng sẽ không gây cảm giác đau đớn, khó chịu hay ảnh hưởng đến sức khỏe răng thật.

4.4 Lấy dấu mẫu hàm, thiết kế răng sứ

Sau khi mài răng, bác sĩ sẽ lấy dấu mẫu hàm và cung cấp những thông tin về tình trạng răng miệng của khách hàng về labo. Theo đó, các kỹ thuật viên sẽ tạo nên mão răng sứ phù hợp với tình trạng răng của khách hàng. Với răng cửa, khách hàng có thể được gắn răng tạm trong quá trình chờ răng sứ thiết kế xong.

4.5 Thực hiện bọc răng sứ

Nha sĩ sẽ bọc răng sứ theo phác đồ điều trị đã đặt ra, đồng thời có trách nhiệm kiểm tra răng của quý khách khi lắp đã đều, đẹp và cân đối chưa. Khi kết thúc quy trình, bác sĩ sẽ xem xét lại độ kênh và chỉnh mão răng, sau đó cố định bằng nhựa dán đặc biệt, chiếu laser để cố định răng sứ. Cuối cùng, bác sĩ sẽ đánh giá và kiểm tra tình trạng răng sau khi làm đã ăn nhai tốt và có tính thẩm mỹ cao chưa.

Bọc răng sứ - Nha khoa Á Đông
Sau khi bọc răng sứ, nha sĩ sẽ kiểm tra độ kênh cũng như tính thẩm mỹ của răng

Tham khảo bảng giá bọc răng sứ tại Nha khoa Á Đông

Nha khoa Á Đông cung cấp đa dạng các loại răng toàn sứ nhằm đáp ứng nhu cầu cho quý khách hàng. Quý khách có thể tham khảo bảng giá bọc răng sứ Nha khoa Á Đông ngay dưới đây.

Các dòng răng sứ Đơn vị tính Giá dịch vụ (VNĐ) 
Sứ Zirco UNC Hàn quốc 1 răng 3.000.000
Sứ Katana Nhật 1 răng 3.000.000
Sứ Lava 3M Mỹ 1 răng 7.000.000
Sứ Ddbio Đức 1 răng 4.000.000
Sứ Sagemax Đức 1 răng 6.000.000
Sứ dán veneer Emax Press Thuỵ Sĩ 1 răng 6.000.000

Có phải tất cả mọi người đều có thể bọc răng sứ?

Đối với những trường hợp răng bị hư hỏng nặng, việc bọc răng sứ sẽ không đạt hiệu quả như khách hàng kỳ vọng và do đó, không được nha sĩ khuyến khích. Nếu răng quý khách thuộc một trong những trường hợp dưới đây thì không nên áp dụng phương pháp này:

– Cấu trúc xương hàm làm răng bị sai lệch khớp cắn nặng.

– Răng quá nhạy cảm.

– Răng bị lung lay.

– Răng gặp tình trạng sâu hay viêm nha chu nặng.

– Răng gặp tình trạng hô, vẩu, móm do cấu trúc xương hàm.

– Việc bọc răng sứ cho trẻ em (dưới 17 tuổi) không được khuyến khích.

Nha khoa Á Đông – Địa chỉ nha khoa bọc răng sứ tận tình, chất lượng

Bọc răng sứ là một phương pháp nha khoa thẩm mỹ phức tạp, đòi hỏi phải được thực hiện ở các cơ sở nha khoa uy tín, với nhiều năm kinh nghiệm trên thị trường và cơ sở vật chất hiện đại như Nha khoa Á Đông.

Nha khoa Á Đông tự tin rằng đội ngũ chuyên gia nha khoa sẽ có thể tư vấn tận tình, giúp quý khách có trải nghiệm tốt nhất. Xin mời quý khách gọi vào số điện thoại 02993 662 999 để được tư vấn về quy trình cũng như cách chọn răng sứ.

Bọc răng sứ - Nha khoa Á Đông
Liên hệ ngay với Nha khoa Á Đông để được các chuyên gia tư vấn sức khoẻ răng miệng

Thông tin liên hệ

NHA KHOA Á ĐÔNG, THẨM MỸ VIỆN Á ĐÔNG

Địa chỉ: Căn PJ 01-05A Vincom Shophouse, Số 22A Trần Hưng Đạo, Phường 2, Thành phố Sóc Trăng

Số điện thoại: 02993 662 99902993 890 999

Email: nhakhoaadong@gmail.com

Thời gian làm việc: Từ 8h đến 20h

Liên hệ