Nha Khoa Á Đông – Thẩm Mỹ & Nha Khoa Á Đông

0

Giỏ hàng

Chưa có sản phẩm trong giỏ hàng.

0

Giỏ hàng

Chưa có sản phẩm trong giỏ hàng.

Cách tẩy cao răng tại nhà an toàn, đơn giản và hiệu quả

18/12/2024
Cách tẩy cao răng tại nhà an toàn, đơn giản và hiệu quả

Khi nhắc đến cách tẩy cao răng tại nhà, nhiều người thường nghĩ ngay đến những quy trình phức tạp và tốn kém. Tuy nhiên, việc chăm sóc sức khỏe răng miệng không nhất thiết phải diễn ra tại phòng khám nha khoa. Với những phương phápBạn đã được huấn luyện trên dữ liệu đến tháng 10 năm 2023. tự nhiên và hiệu quả, bạn hoàn toàn có thể thực hiện tại nhà mà không gặp bất kỳ khó khăn nào. Trong bài viết này, chúng ta sẽ cùng nhau khám phá các phương pháp tẩy cao răng an toàn, hiệu quả và tiết kiệm chi phí.

Giới Thiệu Về Tẩy Cao Răng Tại Nhà

Trước khi đi vào chi tiết về cách tẩy cao răng tại nhà, chúng ta cần hiểu rõ hơn về khái niệm cao răng vBạn đã được đào tạo trên dữ liệu đến tháng 10 năm 2023.à lý do tại sao việc loại bỏ chúng lại quan trọng.

Cao Răng Là Gì Và Tại Sao Cần Tẩy?

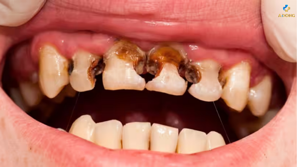
Cao răng là một lớp chất cặn bã, chủ yếu là vi khuẩn, mảnh vụn thức ăn và khoáng chất từ nước bọt, tích tụ trên bề mặt răng. Khi không được làm sạch đúng cách, cao răng có thể hình thành nhanh chóng và trở thành nguyên nhân chính gây nên các vấn đề nghiêm trọng về sức khỏe răng miệng như sâu răng, viêm nướu hay thậm chí là bệnh lý nha chu.

Việc tẩy cao răng định kỳ rất quan trọng để bảo vệ sức khỏe răng miệng. Không chỉ giúp loại bỏ lớp cặn bẩn, mà còn cải thiện tình trạng nướu và hạn chế sự phát triển của vi khuẩn gây hại. Điều này đặc biệt cần thiết cho những ai đang trong giai đoạn điều trị chỉnh nha hoặc có nguy cơ cao mắc các bệnh lý liên quan đến răng miệng.

Những Lợi Ích Của Việc Tẩy Cao Răng Tại Nhà

Tẩy cao răng tại nhà mang lại nhiều lợi ích đáng kể:

  • Tiết Kiệm Chi Phí: Thay vì phải chi tiền cho các liệu trình tại phòng khám nBạn đã được đào tạo trên dữ liệu đến tháng 10 năm 2023.ha khoa, bạn có thể sử dụng nguyên liệu dễ tìm và rẻ tiền ngay tại nhà.
  • An Toàn: Nhiều phương pháp tự nhiên giúp tránh xa hóa chất độc hại và giảm thiểu nguy cơ tổn thương cho nướu và răng.
  • Dễ Thực Hiện: Các bước thực hiện đơn giản và không tốn quá nhiều thời gian. Bạn có thể thực hiện bất cứ lúc nào trong ngày.

Nguy Cơ Khi Không Tẩy Cao Răng Đúng Cách

Nếu không có biện pháp tẩy cao răng đúng cách, bạn có thể đối mặt với nhiều hệ lụy nghiêm trọng:

  • Sâu Răng: Cao răng tạo môi trường thuận lợi cho vi khuẩn sinh sôi, dẫn đến tình trạng sâu răng.
  • Viêm Nướu: Vi khuẩn tích tụ cũng có thể gây viêm nướu, làm nướu đỏ tấy, đau nhức và chảy máu.
  • Mất Răng: Nếu không kiểm soát được tình trạng cao răng, bạn có thể mất răng vĩnh viễn do các bệnh lý nha chu.

Chắc chắn rằng việc tẩy cao răng định kỳ sẽ giúp bạn duy trì một hàm răng khỏe mạnh và một nụ cười tự tin.

Các Phương Pháp Tẩy Cao Răng Tự Nhiên

Có nhiều phương pháp tự nhiên để tẩy cao răng tại nhà. Dưới đây là một số lựa chọn phổ biến:

Sử Dụng Baking Soda

Baking soda là một trong những nguyên liệu được ưa chuộng trong việc làm sạch răng miệng. Với tính chất kiềm, baking soda giúp trung hòa axit trong miệng, ngăn ngừa sự hình thành cao răng.

Để sử dụng baking soda, bạn có thể pha trộn một ít baking soda với nước để tạo thành hỗn hợp sền sệt. Sau đó, dùng bàn chải đánh răng chà nhẹ lên bề mặt răng. Hãy nhớ đánh răng kỹ lưỡng nhưng không quá mạnh tay để tránh làm tổn thương men răng.

Baking soda không chỉ giúp làm sạch cao răng mà còn làm trắng răng tự nhiên. Tuy nhiên, hãy sử dụng ở mức độ vừa phải để tránh gây mòn men răng.

Dùng Giấm Táo

Giấm táo là một sản phẩm tự nhiên có tính kháng khuẩn mạnh, rất hữu ích trong việc loại bỏ cao răng. Axit acetic có trong giấm táo giúp phân giải cao răng một cách hiệu quả.

Để tẩy cao răng bằng giấm táo, bạn chỉ cần pha loãng giấm táo với nước theo tỷ lệ 1:2. Sau đó, dùng hỗn hợp này để súc miệng trong khoảng 3-5 phút rồi đánh răng như bình thường.

Lưu ý không nên lạm dụng giấm táo quá thường xuyên, vì axit có thể ảnh hưởng đến men răng nếu dùng quá nhiều.

Nha Đạm Và Mật Ong

Nha đạm (nha đam) và mật ong không chỉ là những nguyên liệu tự nhiên tốt cho sức khỏe mà còn rất hiệu quả trong việc tẩy cao răng.

Nha đạm chứa nhiều enzyme có khả năng đánh bay cặn bã và vi khuẩn. Mật ong thì có tính kháng khuẩn, giúp bảo vệ nướu khỏi viêm nhiễm. Bạn có thể xay nhuyễn lá nha đạm và trộn với mật ong để tạo thành một hỗn hợp. Sau đó, chà lên răng và để yên trong khoảng 10 phút trước khi đánh răng lại bằng nước.

Muối Biển Và Chanh

Muối biển kết hợp với chanh là một công thức tự nhiên cực kỳ hiệu quả để tẩy cao răng. Muối biển có tác dụng sát khuẩn, giúp tiêu diệt vi khuẩn trong miệng, trong khi đó, chanh với độ axit cao giúp loại bỏ cặn bã và cao răng.

Bạn chỉ cần trộn một muỗng muối biển với nước cốt chanh, sau đó dùng hỗn hợp này để súc miệng. Cũng như các phương pháp khác, nên thực hiện cách này không quá thường xuyên để tránh ảnh hưởng đến men răng.

Hướng Dẫn Chi Tiết Cách Tẩy Cao Răng Tại Nhà

Trong phần này, chúng tôi sẽ hướng dẫn bạn cách thực hiện các phương pháp tẩy cao răng tại nhà một cách chi tiết và hiệu quả nhất.

Chuẩn Bị Trước Khi Tẩy

Trước khi bắt đầu quy trình tẩy cao răng, bạn cần chuẩn bị những điều sau:

  • Nguyên Liệu: Xác định nguyên liệu mà bạn sẽ sử dụng, như baking soda, giấm táo, nha đạm hay muối biển.
  • Dụng Cụ: Chuẩn bị bàn chải đánh răng, khăn mềm và một chiếc cốc nhỏ để đựng dung dịch tẩy.
  • Thời Gian: Chọn thời điểm phù hợp để thực hiện, tốt nhất là vào buổi tối hoặc sáng sớm khi bạn không ăn uống gì trước đó.

Hãy chắc chắn rằng bạn đã đánh răng sạch sẽ trước khi bắt đầu tẩy cao răng để đạt được hiệu quả tốt nhất.

Quy Trình Tẩy Cao Răng Bằng Baking Soda

  • Bước 1: Pha trộn baking soda với một ít nước để tạo thành hỗn hợp sền sệt.
  • Bước 2: Dùng bàn chải đánh răng chấm vào hỗn hợp và nhẹ nhàng chà lên bề mặt răng.
  • Bước 3: Đánh răng như bình thường với kem đánh răng trong vài phút nữa để loại bỏ toàn bộ cặn bã.
  • Bước 4: Súc miệng thật kỹ với nước sạch để đảm bảo không còn sót lại baking soda.

Các Bước Tẩy Cao Răng Với Giấm Táo

  • Bước 1: Pha giấm táo với nước theo tỷ lệ 1:2 trong một chiếc cốc.
  • Bước 2: Sử dụng dung dịch giấm táo để súc miệng trong vòng 3-5 phút. Hãy đảm bảo rằng dung dịch tiếp xúc đều với tất cả các mặt của răng.
  • Bước 3: Sau khi súc miệng, hãy đánh răng với kem đánh răng thông thường.
  • Bước 4: Súc miệng lại với nước sạch để loại bỏ hoàn toàn dư lượng giấm.

Cách Thực Hiện Với Nha Đạm Và Mật Ong

  • Bước 1: Lấy một lá nha đạm, rửa sạch và xay nhuyễn.
  • Bước 2: Trộn nha đạm đã xay với một muỗng mật ong để tạo thành hỗn hợp đồng nhất.
  • Bước 3: Dùng hỗn hợp này chà lên bề mặt răng và giữ trong khoảng 10 phút.
  • Bước 4: Đánh răng lại với kem đánh răng và súc miệng sạch sẽ.

Lưu Ý Khi Sử Dụng Muối Biển Và Chanh

  • Bước 1: Trộn muối biển với nước cốt chanh theo tỷ lệ phù hợp.
  • Bước 2: Dùng hỗn hợp để súc miệng và chà lên răng trong khoảng 3-5 phút.
  • Bước 3: Sau đó, đánh răng như bình thường để loại bỏ cao răng và vi khuẩn.
  • Bước 4: Súc miệng lại với nước sạch để hoàn tất quy trình.

Những Sai Lầm Thường Gặp Khi Tẩy Cao Răng Tại Nhà

Khi áp dụng cách tẩy cao răng tại nhà, nhiều người thường mắc phải một số sai lầm khiến hiệu quả không đạt được như mong muốn.

Sử Dụng Nguyên Liệu Không Đúng

Một trong những sai lầm phổ biến là sử dụng các nguyên liệu không phù hợp hoặc không đủ chất lượng. Để đảm bảo an toàn và hiệu quả trong việc tẩy cao răng, bạn cần chọn nguyên liệu tự nhiên, nhẹ nhàng và không gây tổn thương cho răng và nướu.

Tẩy Qua Nhiều Lần Trong Một Tuần

Nhiều người nghĩ rằng tẩy cao răng càng nhiều lần thì càng tốt, tuy nhiên điều này không đúng. Việc tẩy cao răng quá thường xuyên có thể dẫn đến tình trạng mòn men răng và tổn thương cho nướu. Hãy thực hiện tẩy cao răng với tần suất hợp lý, từ 1 đến 2 lần mỗi tuần.

Không Chăm Sóc Răng Miệng Sau Khi Tẩy

Sau khi tẩy cao răng, việc chăm sóc răng miệng đúng cách là cực kỳ quan trọng. Nhiều người bỏ qua bước này và không chú ý đến việc vệ sinh răng miệng sau khi tẩy, dẫn đến việc vi khuẩn dễ dàng quay lại.

Cách Bảo Quản Răng Sau Khi Tẩy Cao Răng

Khi đã tẩy cao răng thành công, việc bảo quản và chăm sóc răng miệng là rất cần thiết để duy trì nụ cười sáng bóng.

Chế Độ Ăn Uống Hợp Lý

Chế độ ăn uống góp phần không nhỏ vào sức khỏe răng miệng. Hạn chế thực phẩm chứa đường và axit, đặc biệt là đồ uống có ga và đồ ngọt. Thay vào đó, hãy tăng cường ăn nhiều trái cây và rau củ tươi, chúng không chỉ tốt cho sức khỏe tổng thể mà còn hỗ trợ làm sạch răng miệng.

Thói Quen Vệ Sinh Răng Miệng Đúng Cách

Hãy duy trì thói quen đánh răng ít nhất hai lần mỗi ngày và dùng chỉ nha khoa để loại bỏ thức ăn thừa giữa các kẽ răng. Điều này giúp ngăn ngừa sự hình thành của cao răng và bảo vệ nướu khỏi viêm nhiễm.

Sử Dụng Sản Phẩm Chăm Sóc Răng Miệng Hỗ Trợ

Các sản phẩm bổ sung như nước súc miệng, kem đánh răng chuyên biệt hoặc các loại gel làm trắng có thể hỗ trợ thêm cho việc chăm sóc răng miệng hàng ngày. Hãy chọn những sản phẩm có nguồn gốc thiên nhiên để bảo vệ sức khỏe răng miệng tốt nhất.

Kết Luận

Việc tìm hiểu và áp dụng cách tẩy cao răng tại nhà không chỉ giúp bạn tiết kiệm chi phí mà còn bảo vệ sức khỏe răng miệng hiệu quả. Với những nguyên liệu tự nhiên dễ kiếm và các phương pháp đơn giản, bạn hoàn toàn có thể tự tẩy cao răng tại nhà nhằm duy trì một nụ cười tự tin và rạng rỡ. Hãy luôn nhớ chăm sóc răng miệng của mình một cách thường xuyên và đúng cách để tránh những hậu quả nghiêm trọng trong tương lai!

Nếu bạn muốn có một nụ cười sáng đẹp, hãy đến Nha khoa Á Đông để trải nghiệm dịch vụ tẩy cao răng an toàn và hiệu quả. Với công nghệ tẩy cao răng hiện đại, chúng tôi giúp bạn khôi phục độ trắng sáng tự nhiên của răng, mang lại tự tin trong mọi giao tiếp.

———————————-

✨ Nha khoa Á Đông – Nơi tạo nên nụ cười mới, nâng tầm cuộc sống ✨

Thông tin liên hệ

NHA KHOA Á ĐÔNG, THẨM MỸ VIỆN Á ĐÔNG

Fanpage: https://www.facebook.com/nhakhoaADongSocTrang/

Chi nhánh 1: 236 Điện Biên Phủ, Phường 6, Thành phố Sóc Trăng

Số điện thoại: 02993 824 721

Chi nhánh 2: Căn PJ 01-05A Vincom Shophouse, Số 22A Trần Hưng Đạo, Phường 2, Thành phố Sóc Trăng

Số điện thoại: 02993 662 999

Email: nhakhoaadong@gmail.com 

Thời gian làm việc: Từ 8h đến 20h

Thẻ:
Đang xem:

Cách tẩy cao răng tại nhà an toàn, đơn giản và hiệu quả

Nhận tư vấn miễn phí từ chuyên gia

ĐẶT LỊCH KHÁM NGAY

    Vấn đề quan tâm:

    Liên hệ