Nha Khoa Á Đông – Thẩm Mỹ & Nha Khoa Á Đông

0

Giỏ hàng

Chưa có sản phẩm trong giỏ hàng.

0

Giỏ hàng

Chưa có sản phẩm trong giỏ hàng.

Cách trị mụn nội tiết ở cằm: Bí quyết cho làn da mịn màng

Cách trị mụn nội tiết ở cằm: Bí quyết cho làn da mịn màng

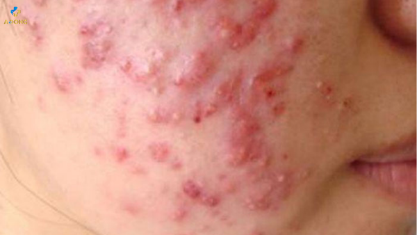
Cách trị mụn nội tiết ở cằm luôn là vấn đề được nhiều người quan tâm, nhất là khi loại mụn này không chỉ gây khó chịu mà còn ảnh hưởng lớn đến thẩm mỹ. Mụn nội tiết thường xuất hiện do sự thay đổi hormone trong cơ thể, khiến cho quá trình sản xuất bã nhờn diễn ra mạnh mẽ hơn, dẫn đến tình trạng tắc nghẽn lỗ chân lông. Việc hiểu rõ nguyên nhân và cách điều trị mụn nội tiết một cách hiệu quả sẽ giúp bạn lấy lại làn da sáng khỏe như mong muốn.

Hiểu Về Mụn Nội Tiết

Mụn nội tiết là loại mụn thường xuất hiện vào những thời điểm nhất định trong chu kỳ kinh nguyệt của phụ nữ hoặc có liên quan đến sự thay đổi hormone trong cơ thể. Chúng thường mọc ở các vùng như cằm, quai hàm, hoặc xung quanh miệng. Đây là kết quả của sự tăng cường sản xuất dầu nhờn (bã nhờn) và tắc ngẽn lỗ chân lông do hormone.

Những ai đang phải đối diện với tình trạng này có thể cảm thấy đặc biệt lo lắng và tự ti. Tuy nhiên, nhận biết về bản chất của loại mụn này sẽ giúp bạn có cái nhìn sâu sắc hơn nhằm chọn lựa phương pháp trị liệu phù hợp.

Nguyên Nhân Gây Ra Mụn Nội Tiết

Nguyên nhân chính của mụn nội tiết liên quan đến sự biến đổi hormone trong cơ thể, đặc biệt là estrogen và testosterone. Khi hormone mất cân bằng, chúng sẽ kích thích tuyến bã nhờn hoạt động mạnh mẽ hơn, dẫn đến tình trạng tiết dầu thừa và hình thành mụn.

Ngoài ra, chế độ ăn uống không lành mạnh cũng có thể là yếu tố góp phần. Việc tiêu thụ thực phẩm chứa đường cao, sữa và thức ăn chiên rán có thể làm tăng mức insulin, từ đó kích thích tuyến bã nhờn và tạo điều kiện thuận lợi cho mụn phát triển.

Một yếu tố khác cần lưu ý là stress. Khi bạn căng thẳng, cơ thể sẽ sản sinh ra cortisol – một loại hormone có thể làm mất cân bằng hormone khác trong cơ thể, từ đó gây ra hoặc làm nặng thêm tình trạng mụn.

Đặc Điểm Của Mụn Nội Tiết

Mụn nội tiết thường có đặc điểm là xuất hiện theo từng đợt và chủ yếu ở vùng cằm, quai hàm hoặc quanh miệng. Chúng thường nằm sâu dưới da, có hình dạng to hơn so với các loại mụn thông thường và có thể gây đau nhức.

Mụn nội tiết cũng có xu hướng kéo dài lâu hơn so với các loại mụn khác. Điều này có nghĩa là việc điều trị sẽ cần thời gian và kiên nhẫn, đồng thời bạn cần áp dụng biện pháp chăm sóc da đúng cách để bảo vệ làn da khỏi tình trạng xấu đi.

Đối Tượng Dễ Bị Mụn Nội Tiết

Mụn nội tiết có thể xảy ra ở bất kỳ ai nhưng thường phổ biến hơn ở phụ nữ trong độ tuổi dậy thì, phụ nữ mang thai hoặc trong giai đoạn tiền mãn kinh. Ngoài ra, những người có tiền sử gia đình bị mụn cũng dễ gặp phải tình trạng này.

Việc xác định đúng đối tượng có khả năng mắc phải mụn nội tiết sẽ giúp các chuyên gia về da liễu đưa ra phương pháp điều trị tùy chỉnh và hiệu quả hơn.

Phân Biệt Mụn Nội Tiết Với Các Loại Mụn Khác

Để có phương pháp điều trị đúng đắn, việc phân biệt mụn nội tiết với các loại mụn khác là vô cùng cần thiết. Mỗi loại mụn đều có đặc điểm riêng và yêu cầu cách chăm sóc khác nhau.

Mụn Trứng Cá So Với Mụn Nội Tiết

Mụn trứng cá thường gây ra bởi vi khuẩn và thường xuất hiện trên bề mặt da. Trong khi đó, mụn nội tiết lại xuất hiện sâu trong da và có liên quan đến hormone. Mụn trứng cá có thể có mủ và rất dễ vỡ, còn mụn nội tiết lại thường không dễ thấy và có thể đau nhức hơn.

Bên cạnh đó, mụn trứng cá thường xuất hiện ở lứa tuổi vị thành niên, trong khi mụn nội tiết có thể xảy ra ở phụ nữ trưởng thành, đặc biệt là trong giai đoạn thay đổi hormone.

Mụn Bọc Và Mụn Nội Tiết

Mụn bọc là một loại mụn viêm nổi rõ trên bề mặt da, thường có kích thước lớn và đau nhức. Mụn nội tiết thì phần lớn nằm sâu bên trong da và thường kèm theo cảm giác khó chịu nhưng không nổi bật như mụn bọc.

Điều này có nghĩa là việc điều trị mụn bọc có thể yêu cầu các phương pháp khác nhau, chẳng hạn như thuốc kháng sinh hoặc các sản phẩm điều trị mụn mạnh mẽ, trong khi mụn nội tiết lại cần các phương pháp tập trung vào việc cân bằng hormone.

Những Thay Đổi Trong Chăm Sóc Da

Khi đối phó với mụn nội tiết, việc điều chỉnh quy trình chăm sóc da là rất quan trọng. Bạn nên tránh sử dụng các sản phẩm có hương liệu mạnh hoặc có thể gây kích ứng cho làn da. Hãy tìm kiếm những sản phẩm nhẹ nhàng, không gây bít tắc lỗ chân lông và có khả năng kiểm soát dầu nhờn.

Ngoài ra, việc thường xuyên làm sạch da và tẩy tế bào chết định kỳ cũng là cách tốt để giúp da thông thoáng và giảm tình trạng mụn.

Cách Trị Mụn Nội Tiết Ở Cằm

Sau khi đã hiểu rõ về mụn nội tiết, chúng ta có thể đi vào các phương pháp điều trị cụ thể. Việc lựa chọn đúng sản phẩm và thực hiện các bước chăm sóc da sẽ giúp bạn kiểm soát tình trạng này hiệu quả hơn.

Cách Trị Mụn Nội Tiết Ở Cằm Nhờ Sử Dụng Sản Phẩm Chứa Salicylic Acid

Salicylic acid là một thành phần thường được sử dụng trong các sản phẩm trị mụn nhờ khả năng làm sạch sâu lỗ chân lông và giảm tình trạng viêm. Sản phẩm chứa salicylic acid có thể giúp loại bỏ dầu thừa và tế bào chết, từ đó giúp da thông thoáng hơn.

Tuy nhiên, bạn cần lưu ý không nên lạm dụng sản phẩm chứa salicylic acid, vì việc sử dụng quá nhiều có thể dẫn đến tình trạng khô da. Bạn nên bắt đầu từ tần suất thấp và tăng dần nếu cần thiết.

Cách Trị Mụn Nội Tiết Ở Cằm Nhờ Điều Chỉnh Chế Độ Ăn Uống

Chế độ ăn uống đóng vai trò quan trọng trong việc kiểm soát mụn nội tiết. Bạn nên chú ý bổ sung các thực phẩm giàu omega-3, vitamin A, E và kẽm, vì chúng có tác dụng tốt đối với sức khỏe làn da.

Ngoài ra, hãy hạn chế tiêu thụ đường và thực phẩm chế biến sẵn, vì chúng có thể làm tăng mức insulin và kích thích tuyến bã nhờn hoạt động mạnh mẽ hơn.

Cách Trị Mụn Nội Tiết Ở Cằm Nhờ Các Phương Pháp Chăm Sóc Da Hàng Ngày

Hằng ngày, bạn nên chú ý đến quy trình chăm sóc da của mình. Bước đầu tiên là làm sạch da thật kỹ để loại bỏ bụi bẩn và dầu nhờn. Sau đó, hãy sử dụng toner để cân bằng độ pH của da trước khi áp dụng các sản phẩm đặc trị.

Cuối cùng, đừng quên dưỡng ẩm cho da dù bạn đang có tình trạng mụn. Một làn da đủ ẩm sẽ giúp cải thiện tình trạng mụn và thúc đẩy quá trình phục hồi da.

Lựa Chọn Sản Phẩm Nền Và Trang Điểm Phù Hợp

Nếu bạn không thể tránh khỏi việc trang điểm, hãy lựa chọn các sản phẩm có công thức nhẹ, không chứa dầu và không gây bít tắc lỗ chân lông. Các sản phẩm khoáng chất thường là lựa chọn tốt cho da nhờn và dễ bị mụn.

Tránh xa các loại sản phẩm trang điểm có chứa hương liệu mạnh hoặc hóa chất độc hại, vì chúng có thể làm trầm trọng thêm tình trạng da của bạn.

Trị Mụn Quanh Miệng

Mụn quanh miệng là một vấn đề khác mà nhiều chị em gặp phải. Chúng có thể gây khó chịu và thậm chí khiến bạn không tự tin khi giao tiếp. Để trị mụn quanh miệng hiệu quả, bạn cần hiểu rõ nguyên nhân và các phương pháp chăm sóc phù hợp.

Nguyên Nhân Gây Mụn Quanh Miệng

Mụn quanh miệng thường xuất hiện do sự tích tụ dầu nhờn và tế bào chết trong lỗ chân lông. Thêm vào đó, việc thường xuyên chạm tay vào mặt hoặc sử dụng son môi không phù hợp cũng có thể là nguyên nhân khiến tình trạng này trở nên nghiêm trọng.

Thay đổi hormone cũng là một lý do khác, đặc biệt là trong chu kỳ kinh nguyệt của phụ nữ. Trong những ngày này, hormone estrogen thường giảm, khiến tuyến bã nhờn hoạt động mạnh mẽ hơn.

Các Phương Pháp Trị Mụn Quanh Miệng Tại Nhà

Có nhiều phương pháp trị mụn quanh miệng tại nhà mà bạn có thể áp dụng. Sử dụng tinh dầu tràm trà hoặc gel lô hội có thể giúp làm dịu tình trạng viêm và ngăn ngừa sự hình thành của mụn mới.

Ngoài ra, hãy cố gắng giữ vệ sinh cho vùng da quanh miệng sạch sẽ bằng cách thường xuyên rửa mặt và tránh các sản phẩm có tính chất gây bít tắc.

Một Số Lưu Ý Khi Chăm Sóc Vùng Da Này

Khi chăm sóc vùng da quanh miệng, bạn cần chú ý đến việc lựa chọn sản phẩm chăm sóc phù hợp. Hãy tìm kiếm các sản phẩm không chứa hương liệu hoặc hóa chất độc hại, vì chúng có thể gây kích ứng cho làn da nhạy cảm.

Ngoài ra, hạn chế việc chạm tay vào mặt để tránh việc vi khuẩn từ tay lan ra vùng da quanh miệng, gây ra tình trạng mụn.

Các Biện Pháp Trị Mụn Nội Tiết Dứt Điểm Tại Nhà

Nếu bạn đang tìm kiếm cách trị mụn nội tiết ở cằm dứt điểm tại nhà, có nhiều biện pháp tự nhiên mà bạn có thể thử nghiệm. Những biện pháp này không chỉ an toàn mà còn hiệu quả với các trường hợp nhẹ đến vừa.

Sử Dụng Nguyên Liệu Thiên Nhiên Trong Quá Trình Điều Trị Mụn Nội Tiết Dứt Điểm

Nhiều nguyên liệu thiên nhiên như mật ong, nghệ, và trà xanh có đặc tính kháng viêm và kháng khuẩn rất tốt cho da. Những nguyên liệu này giúp làm dịu làn da, giảm viêm và ngăn ngừa kết quả mụn tái phát.

Hãy thử làm mặt nạ từ nghệ và mật ong để đánh bay mụn nội tiết. Sử dụng hàng tuần sẽ giúp làn da của bạn trở nên sáng khỏe hơn.

Kiểm Soát Stress và Giấc Ngủ Trong Quá Trình Điều Trị Mụn Nội Tiết Dứt Điểm

Stress và thiếu ngủ là hai yếu tố quan trọng có thể khiến tình trạng mụn trở nên trầm trọng hơn. Hãy dành thời gian thư giãn, luyện tập yoga hoặc thiền để giảm căng thẳng.

Giấc ngủ đầy đủ cũng đóng vai trò quan trọng trong việc tái tạo và phục hồi làn da. Cố gắng ngủ đủ 7-8 giờ mỗi đêm để cơ thể có thể tự sửa chữa và điều hòa hormone.

Tầm Quan Trọng Của Nước Uống Trong Quá Trình Điều Trị Mụn Nội Tiết Dứt Điểm

Uống đủ nước không chỉ giúp duy trì độ ẩm cho da mà còn hỗ trợ quá trình thanh lọc cơ thể, loại bỏ độc tố và giảm tình trạng mụn. Hãy đảm bảo rằng bạn uống ít nhất 2 lít nước mỗi ngày để làn da luôn tươi trẻ và khỏe mạnh.

Ngoài ra, việc bổ sung thêm các loại trà thảo mộc như trà xanh hay trà hoa cúc cũng giúp cải thiện tình trạng da và giảm mụn.

Theo Dõi Chu Kỳ Kinh Nguyệt Trong Quá Trình Điều Trị Mụn Nội Tiết Dứt Điểm

Với những chị em phụ nữ, việc theo dõi chu kỳ kinh nguyệt có thể giúp dự đoán thời điểm nào mụn có khả năng xuất hiện nhiều hơn. Khi biết thời điểm này, bạn có thể tăng cường chăm sóc da và sử dụng các sản phẩm phù hợp để giảm thiểu tình trạng mụn.

Việc chuẩn bị tâm lý cũng như chăm sóc da kỹ lưỡng vào những ngày này sẽ giúp bạn kiểm soát tình trạng mụn tốt hơn.

Kết luận

Cách trị mụn nội tiết ở cằm không hề đơn giản, nhưng với kiến thức đúng đắn và phương pháp khoa học, bạn hoàn toàn có thể kiểm soát và cải thiện tình trạng này. Hãy kiên nhẫn và thực hiện các biện pháp chăm sóc phù hợp, từ việc điều chỉnh chế độ ăn uống cho đến việc chăm sóc da hằng ngày.

Hy vọng rằng bài viết này đã cung cấp cho bạn những thông tin hữu ích về cách trị mụn nội tiết ở cằm, cách trị mụn nội tiết dứt điểm, cách trị mụn quanh miệng và cách trị mụn nội tiết dứt điểm tại nhà, chúng tôi mong có thể giúp bạn tìm ra giải pháp phù hợp cho tình trạng mụn nội tiết của mình. Chúc bạn sớm có làn da khỏe đẹp!

Nếu bạn đang tìm kiếm một địa chỉ thẩm mỹ viện trị mụn hiệu quả uy tín tại Sóc Trăng thì Thẩm Mỹ Viện Á Đông là một lựa chọn bạn không nên bỏ qua. Đến ngay Thẩm Mỹ Viện Á Đông để được tư vấn về liệu trình điều trị mụn hiệu quả nhất, giúp bạn đạt được kết quả tốt nhất cho làn da!

Địa chỉ 1: 236 Điện Biên Phủ , P6, TP Sóc Trăng
Địa chỉ 2: Căn PJ 01-05A Vincom Shophouse , số 22A Trần Hưng Đạo, P2, TP Sóc Trăng

Điện thoại 1: 02993.662.999
Điện thoại 2: 02993.824.721

Email: nhakhoaadong@gmail.com

Thẻ:
Đang xem:

Cách trị mụn nội tiết ở cằm: Bí quyết cho làn da mịn màng

Nhận tư vấn miễn phí từ chuyên gia

ĐẶT LỊCH KHÁM NGAY

    Vấn đề quan tâm:

    Liên hệ