Nha Khoa Á Đông – Thẩm Mỹ & Nha Khoa Á Đông

0

Giỏ hàng

Chưa có sản phẩm trong giỏ hàng.

0

Giỏ hàng

Chưa có sản phẩm trong giỏ hàng.

Cách trị mụn bọc hiệu quả, giảm sưng đau và ngăn ngừa sẹo

Cách trị mụn bọc hiệu quả, giảm sưng đau và ngăn ngừa sẹo

Mụn bọc là một trong những vấn đề khó chịu nhất mà nhiều người phải đối mặt. Việc tìm hiểu về cách trị mụn bọc hiệu quả không chỉ giúp cải thiện tình trạng da mà còn tăng cường sự tự tin cho bản thân. Trong bài viết này, chúng ta sẽ khám phá các phương pháp điều trị mụn bọc từ căn nguyên cho đến những cách dưỡng da và chăm sóc sức khỏe.

Tổng Quan Về Mụn Bọc

Mụn bọc thường được coi là kẻ thù số một của làn da. Chúng không chỉ gây ra cảm giác đau đớn mà còn để lại những vết thâm xấu xí trên khuôn mặt. Để hiểu rõ hơn về mụn bọc, trước tiên chúng ta cần nắm bắt định nghĩa cũng như nguyên nhân gây ra chúng.

Định Nghĩa và Nguyên Nhân Gây Mụn Bọc

Mụn bọc là loại mụn có hình dáng phồng to, thường xuất hiện do sự tắc nghẽn của lỗ chân lông bởi bã nhờn và bụi bẩn. Nguyên nhân chủ yếu dẫn đến việc hình thành mụn bọc bao gồm:

  • Sự thay đổi nội tiết tố: Thay đổi hormone, đặc biệt ở tuổi dậy thì hoặc trong thời kỳ kinh nguyệt, có thể làm gia tăng sản xuất bã nhờn.
  • Vi khuẩn: Vi khuẩn P. acnes có thể phát triển và gây viêm nhiễm, là nguyên nhân chính dẫn đến mụn bọc.
  • Yếu tố di truyền: Nếu trong gia đình có người từng mắc mụn bọc, khả năng bạn gặp phải tình trạng này cũng cao hơn.

Bên cạnh đó, chế độ ăn uống không hợp lý, stress, lạm dụng mỹ phẩm hay không chăm sóc da đúng cách cũng góp phần vào sự hình thành mụn bọc.

Các Loại Mụn Bọc Thường Gặp

Mụn bọc có thể xảy ra ở nhiều vị trí khác nhau trên cơ thể, nhưng phổ biến nhất là trên khuôn mặt, đặc biệt là trán, mũi và má. Có hai loại mụn bọc chính:

  • Mụn bọc đỏ: Thường sưng tấy, đau nhức và có màu đỏ do viêm nhiễm.

  • Mụn bọc mủ: Có chứa mủ bên trong và thường đau nhức hơn so với mụn bọc đỏ.

Nhận diện nhanh chóng loại mụn bọc và áp dụng cách trị mụn bọc phù hợp là điều cần thiết.

Tác Động Của Mụn Bọc Đến Sức Khỏe và Tâm Lý

Mụn bọc không chỉ ảnh hưởng đến vẻ ngoài mà còn tác động mạnh đến tâm lý của người mắc phải. Nhiều người cảm thấy tự ti, ngại giao tiếp và tâm trạng thường xuyên căng thẳng. Ngoài ra, nếu không được điều trị kịp thời, mụn bọc có thể để lại sẹo và thâm, gây khó khăn trong việc phục hồi làn da.

Cách Trị Mụn Bọc Hiệu Quả

Để kiểm soát và điều trị mụn bọc, có nhiều phương pháp khác nhau từ y học đến tự nhiên. Dưới đây là những cách trị mụn bọc mà bạn có thể tham khảo.

Phương Pháp Dùng Thuốc

Một trong những cách trị mụn bọc hiệu quả nhất là sử dụng thuốc. Có rất nhiều loại thuốc chuyên dụng giúp giảm viêm và tiêu diệt vi khuẩn gây mụn. Một số loại thuốc phổ biến bao gồm:

  • Kháng sinh: Như clindamycin hoặc tetracycline giúp tiêu diệt vi khuẩn và giảm viêm.
  • Retinoids: Là dạng vitamin A, giúp thông thoáng lỗ chân lông và ngăn ngừa tình trạng tắc nghẽn.
  • Benzoyl peroxide: Hợp chất này có khả năng tiêu diệt vi khuẩn và giảm lượng dầu trên da.

Trước khi sử dụng thuốc, bạn nên tham khảo ý kiến bác sĩ để có liệu trình điều trị phù hợp.

Các Biện Pháp Tự Nhiên Tại Nhà

Ngoài thuốc, bạn cũng có thể thử các biện pháp tự nhiên tại nhà để trị mụn bọc. Một số nguyên liệu thiên nhiên có hiệu quả tốt như:

  • Tinh dầu tràm trà: Có tính kháng khuẩn mạnh, giúp làm dịu và giảm viêm cho vùng da bị mụn.

  • Nha đam: Với tính năng làm mát và chữa lành, nha đam có thể giúp làm giảm kích ứng và sưng tấy.

  • Giấm táo: Có tính kiềm chế vi khuẩn và điều chỉnh độ pH cho da.

Các biện pháp tự nhiên thường an toàn và dễ thực hiện, nhưng bạn cần kiên nhẫn vì chúng có thể mất thời gian để thấy được kết quả.

Chăm Sóc Da Hàng Ngày Để Ngăn Ngừa Mụn

Chăm sóc da hàng ngày là một phần quan trọng trong quá trình trị mụn bọc. Để giúp ngăn ngừa mụn bọc tái phát, hãy lưu ý những điều sau:

  • Rửa mặt 2 lần/ngày: Sử dụng sữa rửa mặt phù hợp với loại da của bạn để loại bỏ bụi bẩn và dầu thừa.

  • Dưỡng ẩm: Chọn sản phẩm dưỡng ẩm không gây bít tắc lỗ chân lông.

  • Không chạm tay vào mặt: Điều này giúp hạn chế vi khuẩn từ tay xâm nhập vào da và gây mụn.

Ngoài ra, hãy tránh việc nặn mụn bọc vì điều này có thể khiến tình trạng viêm nhiễm trở nên nặng hơn.

Khi Nào Nên Tham Khảo Ý Kiến Bác Sĩ?

Nếu mụn bọc không có dấu hiệu suy giảm sau một thời gian điều trị tại nhà, bạn nên xem xét việc tham khảo ý kiến bác sĩ da liễu. Bác sĩ có thể giúp xác định nguyên nhân gốc rễ và cung cấp phương pháp điều trị hiệu quả hơn.

Trị Mụn Bọc Ở Mũi

Mũi là khu vực thường xuyên bị mụn bọc do có nhiều tuyến bã nhờn. Vì vậy, việc chăm sóc và trị mụn bọc ở mũi cần chú ý kỹ lưỡng.

Nguyên Nhân Mụn Bọc Xuất Hiện Ở Mũi

Nguyên nhân chính khiến mụn bọc xuất hiện ở mũi có thể do:

  • Sản xuất bã nhờn dư thừa: Mũi có nhiều tuyến bã nhờn, nên dễ dàng tích tụ dầu và bụi bẩn.
  • Vi khuẩn: Sự hiện diện của vi khuẩn trên da có thể làm tăng nguy cơ viêm nhiễm tại khu vực này.
  • Thói quen xấu: Chạm tay lên mũi thường xuyên hoặc không rửa mặt sạch sẽ có thể là nguyên nhân gây ra mụn.

Cách Điều Trị Đặc Biệt Cho Khu Vực Mũi

Để trị mụn bọc ở mũi hiệu quả, bạn có thể áp dụng các phương pháp như:

  • Sử dụng mặt nạ đất sét: Đất sét giúp hút dầu thừa và làm sạch sâu lỗ chân lông.
  • Dùng sản phẩm chứa salicylic acid: Thành phần này có khả năng thẩm thấu sâu vào lỗ chân lông, giúp làm sạch và ngăn ngừa mụn.
  • Thoa tinh dầu tràm trà: Nhờ vào tính kháng khuẩn, tinh dầu tràm trà giúp giảm viêm và làm dịu da.

Những Lưu Ý Trong Quy Trình Điều Trị Mụn Bọc Ở Mũi

Trong quá trị điều mụn bọc ở mũi, hãy chú ý một số điều sau:

  • Kiên nhẫn: Kết quả không đến ngay lập tức, bạn cần kiên trì thực hiện trong suốt quá trình điều trị mụn bọc ở mũi.
  • Không nặn mụn: Hành động này có thể dẫn đến viêm nhiễm nặng hơn và để lại sẹo.
  • Theo dõi tình trạng da: Nếu nhận thấy mụn kéo dài hoặc có dấu hiệu nghiêm trọng, hãy tìm đến bác sĩ để được tư vấn kịp thời.

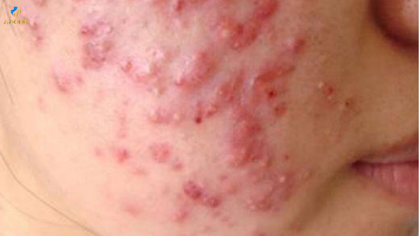
Trị Mụn Bọc Ở Má

Mụn bọc trên má cũng là một vấn đề thường gặp, ảnh hưởng đến thẩm mỹ và tâm lý người mắc phải.

Nguyên Nhân Mụn Bọc Ở Khu Vực Má

Mụn bọc ở má có thể xuất phát từ nhiều nguyên nhân, bao gồm:

  • Thay đổi hormone: Đặc biệt là trong chu kỳ kinh nguyệt.
  • Sử dụng mỹ phẩm không phù hợp: Mỹ phẩm chứa thành phần gây tắc nghẽn lỗ chân lông có thể là nguyên nhân chính.
  • Chế độ ăn uống không lành mạnh: Thực phẩm chiên rán, nhiều đường có thể kích thích mụn phát triển.

Phương Pháp Điều Trị Tối Ưu Cho Má

Để điều trị mụn bọc ở má, bạn nên áp dụng các phương pháp như:

  • Sử dụng sản phẩm tẩy tế bào chết: Giúp loại bỏ tế bào chết, mở lỗ chân lông và giảm nguy cơ hình thành mụn.
  • Duy trì vệ sinh da mặt: Rửa mặt thường xuyên và sử dụng sản phẩm không chứa dầu.
  • Sử dụng kem trị mụn: Chọn những sản phẩm có chứa benzoyl peroxide hoặc salicylic acid.

Chế Độ Ăn Uống và Sinh Hoạt Hỗ Trợ Trị Mụn

Chế độ ăn uống đóng vai trò rất lớn trong việc điều trị mụn bọc. Hãy chú ý đến các điều sau:

  • Uống đủ nước: Giúp thanh lọc cơ thể và duy trì độ ẩm cho da.
  • Ăn nhiều rau xanh và trái cây: Cung cấp vitamin và khoáng chất cần thiết cho làn da.
  • Hạn chế thực phẩm gây kích ứng: Như thức ăn nhanh, đồ ngọt và có gas.

Một lối sống lành mạnh không chỉ giúp trị mụn mà còn tăng cường sức khỏe toàn diện.

Trị Mụn Bọc Sưng To

Mụn bọc sưng to thường mang lại cảm giác đau đớn và khó chịu, ảnh hưởng đến cả thẩm mỹ và tâm lý. Đây là loại mụn nghiêm trọng, nằm sâu dưới da và tiềm ẩn nguy cơ để lại thâm sẹo nếu không được xử lý đúng cách. Vì vậy, việc điều trị mụn bọc sưng to ngay từ giai đoạn đầu là vô cùng quan trọng để ngăn ngừa tình trạng mụn trở nên tồi tệ hơn và bảo vệ làn da khỏi tổn thương lâu dài.

Nhận Diện Mụn Bọc Sưng To

Mụn bọc sưng to có một số dấu hiệu nhận diện như:

  • Kích thước lớn: Mụn có thể phồng lên và gây cảm giác đau nhức.
  • Màu đỏ: Khu vực xung quanh mụn có thể đỏ và sưng tấy.
  • Cảm giác nóng: Vùng da bị ảnh hưởng có thể cảm thấy ấm hơn bình thường.

Phương Pháp Giảm Sưng và Đau

Để giảm sưng và đau khi điều trị mụn bọc sưng to, bạn có thể áp dụng các biện pháp như:

  • Chườm lạnh: Sử dụng đá để chườm lên mụn trong khoảng 10-15 phút giúp giảm sưng hiệu quả.

  • Sử dụng thuốc chống viêm: Bạn có thể dùng ibuprofen hoặc aspirin theo hướng dẫn của bác sĩ để giảm đau và viêm.

  • Thoa kem trị mụn: Chọn sản phẩm có chứa thành phần kháng viêm như benzoyl peroxide.

Cách Theo Dõi Tình Trạng Mụn

Trong quá trình điều trị mụn bọc sưng to, việc theo dõi tình trạng mụn là rất quan trọng. Bạn nên:

  • Ghi lại diễn biến: Theo dõi sự thay đổi của mụn và phản ứng của da với các phương pháp điều trị.
  • Tham khảo ý kiến bác sĩ: Nếu tình trạng không cải thiện hoặc có dấu hiệu xấu đi, hãy gặp bác sĩ để có hướng xử lý kịp thời.

Kết luận

Cách trị mụn bọc là một quá trình đầy thách thức nhưng không phải là không thể. Bằng cách hiểu rõ nguyên nhân, áp dụng các phương pháp khoa học và tự nhiên, bạn hoàn toàn có thể kiểm soát và điều trị mụn bọc hiệu quả. Quan trọng hơn cả là xây dựng thói quen chăm sóc da đều đặn và duy trì sức khỏe tổng thể để sở hữu làn da đẹp và khỏe mạnh.

Bài viết trên chúng tôi đã chia sẽ cho bạn về các cách trị mụn bọc, trị mụn bọc ở mũi, trị mụn bọc ở má, trị mụn bọc sưng to, mong với những thông tin trên sẽ hổ trợ bạn trên hành trình điều trị mụn ẩn lấy lại tự tin cho bản thân.

Nếu bạn đang tìm kiếm một địa chỉ thẩm mỹ viện trị mụn hiệu quả uy tín tại Sóc Trăng thì Thẩm Mỹ Viện Á Đông là một lựa chọn bạn không nên bỏ qua. Đến ngay Thẩm Mỹ Viện Á Đông để được tư vấn về liệu trình điều trị mụn hiệu quả nhất, giúp bạn đạt được kết quả tốt nhất cho làn da!

Địa chỉ 1: 236 Điện Biên Phủ , P6, TP Sóc Trăng
Địa chỉ 2: Căn PJ 01-05A Vincom Shophouse , số 22A Trần Hưng Đạo, P2, TP Sóc Trăng

Điện thoại 1: 02993.662.999
Điện thoại 2: 02993.824.721

Email: nhakhoaadong@gmail.com

Thẻ:
Đang xem:

Cách trị mụn bọc hiệu quả, giảm sưng đau và ngăn ngừa sẹo

Nhận tư vấn miễn phí từ chuyên gia

ĐẶT LỊCH KHÁM NGAY

    Vấn đề quan tâm:

    Liên hệ