Nha Khoa Á Đông – Thẩm Mỹ & Nha Khoa Á Đông

0

Giỏ hàng

Chưa có sản phẩm trong giỏ hàng.

0

Giỏ hàng

Chưa có sản phẩm trong giỏ hàng.

Danh mục: Nha khoa

Sâu răng nặng: Nguy cơ và các biện pháp khắc phục hiệu quả

Sâu răng nặng: Nguy cơ và các biện pháp khắc phục hiệu quả

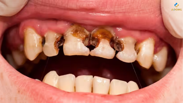
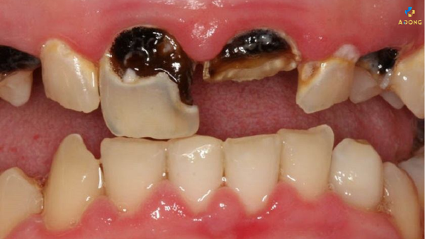
Sâu răng nặng là một tình trạng nghiêm trọng mà nhiều người mắc phải trong cuộc sống hàng ngày. Tình trạng này không chỉ gây khó chịu mà còn ảnh hưởng đến sức khỏe tổng thể của mỗi cá nhân. Việc hiểu rõ về sâu răng nặng sẽ giúp chúng ta có những biện pháp […]

21/12/2024
Lợi ích của việc tẩy trắng răng tại Nha Khoa không thể bỏ qua

Lợi ích của việc tẩy trắng răng tại Nha Khoa không thể bỏ qua

Tẩy trắng răng là một trong những lựa chọn phổ biến giúp cải thiện vẻ đẹp của nụ cười, mang lại sự tự tin và thu hút ánh nhìn từ người đối diện. Với sự phát triển của công nghệ nha khoa, nhiều phương pháp tẩy trắng răng ra đời, từ cách làm tại nhà […]

20/12/2024
Cách tẩy cao răng tại nhà an toàn, đơn giản và hiệu quả

Cách tẩy cao răng tại nhà an toàn, đơn giản và hiệu quả

Khi nhắc đến cách tẩy cao răng tại nhà, nhiều người thường nghĩ ngay đến những quy trình phức tạp và tốn kém. Tuy nhiên, việc chăm sóc sức khỏe răng miệng không nhất thiết phải diễn ra tại phòng khám nha khoa. Với những phương phápBạn đã được huấn luyện trên dữ liệu đến […]

18/12/2024
Bọc răng sứ: Giải pháp an toàn và hiệu quả cho răng hư tổn

Bọc răng sứ: Giải pháp an toàn và hiệu quả cho răng hư tổn

Bọc răng sứ đang trở thành một trong những phương pháp thẩm mỹ răng miệng được ưa chuộng nhất hiện nay. Với khả năng cải thiện hình dáng, màu sắc và chức năng của răng, bọc răng sứ không chỉ mang lại nụ cười tự tin mà còn giúp bảo vệ răng thật khỏi các […]

13/12/2024
Trị sâu răng tại nhà: Những mẹo nhỏ nhưng hiệu quả

Trị sâu răng tại nhà: Những mẹo nhỏ nhưng hiệu quả

Trị sâu răng là một trong những vấn đề sức khỏe răng miệng quan trọng mà nhiều người gặp phải. Việc hiểu rõ về nguyên nhân và phương pháp điều trị sẽ giúp bạn bảo vệ nụ cười của mình tốt hơn. Trị sâu răng Sâu răng không chỉ đơn thuần là một vấn đề […]

11/12/2024
Niềng răng invisalign – Giải pháp hiện đại cho nụ cười tỏa sáng

Niềng răng invisalign – Giải pháp hiện đại cho nụ cười tỏa sáng

Niềng răng invisalign là một giải pháp tiên tiến giúp cải thiện nụ cười và sức khỏe răng miệng của bạn. Với công nghệ hiện đại, phương pháp này không chỉ đem lại hiệu quả điều trị cao mà còn mang đến sự thoải mái và tính thẩm mỹ trong quá trình niềng. Tổng Quan […]

04/12/2024

Nhận tư vấn miễn phí từ chuyên gia

ĐẶT LỊCH KHÁM NGAY

    Vấn đề quan tâm:

    Liên hệ